MXR imaging drone nj facility

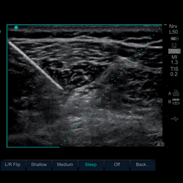
What Is Ultrasound Needle Visualization?

Ultrasound is a valuable tool for guiding medical procedures, such as biopsies, injections, and drainages. However, it can be difficult to visualize a needle in ultrasound images, especially when the needle is small or moving quickly. This can lead to complications during the procedure, such as accidental tissue damage or needle misplacement. Needle visualization (NV) is a technique that improves the visibility of needles in ultrasound images. It works by using a combination of software and hardware to enhance the needle's echogenicity. This makes the needle easier to see, even in challenging situations.

Needle Visualization has a number of benefits for ultrasound-guided procedures. It can:

  • Improve accuracy and safety: NV can help to reduce the risk of complications during ultrasound-guided procedures. By making the needle easier to see, NV can help to ensure that the needle is placed in the correct location.
  • Reduce procedure time: NV can help to shorten the duration of ultrasound-guided procedures. This is because NV can make it easier to find the needle and place it in the correct location, which can reduce the amount of time that the patient needs to be under ultrasound guidance.
  • Increase patient comfort: NV can help to increase patient comfort during ultrasound-guided procedures. This is because NV can make the procedure go more quickly and smoothly, which can reduce patient anxiety and discomfort.

Needle Visualization is a valuable tool for a variety of ultrasound-guided procedures, including:

  • Biopsies: NV can be used to guide biopsies of tissues, such as liver, breast, and lung.
  • Injections: NV can be used to guide injections of medications, such as steroids and numbing agents.
  • Drainage: NV can be used to guide drainage of fluid collections, such as abscesses and hematomas.

Needle Visualization is a relatively new technique, but it has quickly become an essential tool for ultrasound-guided procedures.

In addition to the benefits mentioned above, NV can also be used to:

  • Monitor the needle during the procedure to ensure that it is in the correct location.
  • Help to prevent needle-related injuries.
  • Improve the quality of ultrasound images, making them easier to interpret.

Needle Visualization is a safe and effective technique that can improve the safety, accuracy, and efficiency of ultrasound-guided procedures. If you are considering an ultrasound-guided procedure, be sure to ask your doctor if NV is available.

Authored by John Vianello
MXR Imaging

Related Articles